دوره 33، شماره 3 - ( 7-1403 )                   جلد 33 شماره 3 صفحات 359-346 | برگشت به فهرست نسخه ها


XML English Abstract Print


Download citation:
BibTeX | RIS | EndNote | Medlars | ProCite | Reference Manager | RefWorks
Send citation to:

Najafizadeh S R, Yaseri M. A Case Report of IgG4-related Disease With Common Clinical Manifestation in an Atypical Gender. JGUMS 2024; 33 (3) :346-359
URL: http://journal.gums.ac.ir/article-1-2698-fa.html
نجفی زاده سید رضا، یاسری مریم. گزارش 2 مورد بیماری IgG4 با تظاهر بالینی شایع در جنسیت غیر‌معمول. مجله علوم پزشکی گیلان. 1403; 33 (3) :346-359

URL: http://journal.gums.ac.ir/article-1-2698-fa.html


1- مرکز تحقیقات روماتولوژی، بیمارستان ولیعصر، دانشگاه علوم پزشکی تهران، تهران، ایران.
متن کامل [PDF 6584 kb]   (317 دریافت)     |   چکیده (HTML)  (1550 مشاهده)
متن کامل:   (684 مشاهده)
مقدمه
بیماری مرتبط با ایمونوگلوبولین G4 (IgG4-RD) یک وضعیت مرتبط با ایمنی است که چند عضو را درگیر و بسیاری از اختلالات بدخیم، عفونی و التهابی را تقلید می‌کند [1]. تشخیص این بیماری مرتبط به شرایطی است که قبلاً به‌عنوان بیماری‌های یک عضو منفصل شناخته می‌شدند و خارج از هرگونه شرایط سیستمی شناخته‌شده‌ای بودند. شایع‌ترین بافت‌هایی که درگیر می‌شوند، غدد بزاقی اصلی، غده اشکی، پانکراس، اربیت‌ها، مجاری صفراوی و خلف صفاق هستند. ویژگی‌های بارز پاتولوژیIgG4-RD  یک ارتشاح لنفوپلاسمی با درصد بالایی از رنگ‌گیری سلول‌های پلاسما برای IgG4، فیبروز استورمی فرم، فلبیت انسدادی و ائوزینوفیلی بافتی خفیف تا متوسط است و اساس تشخیص بر همبستگی بالینی پاتولوژیک استوار است [2]. متأسفانه ناهمگونی و مبهم بودن این علائم اجازه شناسایی واضح و استاندارد را نمی‌دهد و باعث تأخیر در تشخیص و درمان می‌شود که مشکلات زیادی را به همراه می‌آورد [3]. ما در این مطالعه 2 گزارش مورد خاص ازIgG4-RD  را شرح می‌دهیم که هر دو با درگیری خلفی‌صفاقی تشخیص داده شدند.

گزارش مورد 

بیمار شماره 1 

خانم 26 ساله‌ای که سابقه بیماری قبلی نداشته از 1 ماه پیش با شکایت از کمردرد به کلینیک بیمارستان مراجعه کرد. درد کمر بیمار پیوسته بود و به پهلوها و هایپوگاستر سرایت کرده بود. بیمار از کاهش حجم ادرار در 2 هفته اخیر شکایت داشت، اما شکایتی از تب، لرز، کاهش وزن، علائم گوارشی، ریوی یا پوستی ثبت نشد. فشار خون، ضربان قلب، دمای بدن و اشباع اکسیژن در دمای اتاق طبیعی بود و در معاینه بالینی در دق پهلوها درد (تندرنس) CVA وجود داشت. همچنین هیچ‌گونه لنفادنوپاتی محیطی در ناحیه گردن، زیر بغل یا اینگوینال وجود نداشت.
در بررسی آزمایشگاهی، شمارش کامل خون، نرمال؛ سرعت رسوب گلبول قرمز، 40 میلی‌متر بر ساعت؛ پروتئین واکنشگر C، 10 میلی‌گرم در دسی‌لیتر؛ نیتروژن اوره خون ، 33 میلی‌گرم در دسی‌لیتر و کراتینین، 2/5 میلی‌گرم در دسی‌لیتر بود. در طول بستری برای بیمار سونوگرافی شکم و لگن انجام شد که در گزارش سونوگرافی، کبد، کیسه صفرا و پانکراس طبیعی بودند و اسپلنومگالی یافت نشد. هر دو کلیه بزرگ‌تر از حد طبیعی گزارش شد که سایز کلیه راست 47×147 میلی متر و کلیه چپ 47×130 میلی متر بود. اکو پارانشیمی هر دو کلیه نرمال بود و هیدرونفروز درجه 1 با اتساع حالب در هر دو طرف مشهود بود. همچنین تخمدان‌ها و رحم نرمال بودند. به دلیل هیدرونفروز در سونوگرافی، بیمار تحت سی‌تی‌اسکن بدون کنتراست شکم و لگن قرار گرفت که هیدرونفروز بدون وجود سنگ را در کلیه ها نشان داد. همچنین تراکم بافت نرم در ناحیه پاراآئورت به ابعاد 26×59×129 میلی‌متر مشاهده شد. لنفادنوپاتی چندگانه با حداکثر قطر ساژیتال شکمی 10 میلی‌متر در حفره شکمی مشاهده شد (تصویر شماره 1).



به دلیل افزایش هیدرونفروز و افزایش کراتینین، بیمار تحت نفروستومی دو‌طرفه از راه پوست قرار گرفت. پس از کاهش کراتینین، تصویربرداری رزونانس مغناطیسی شکم و لگن بدون حاجب برای بیمار انجام شد که توده خلفی‌صفاقی در اطراف آئورت و ورید اجوف تحتانی را تأیید کرد (تصویر شماره 2).



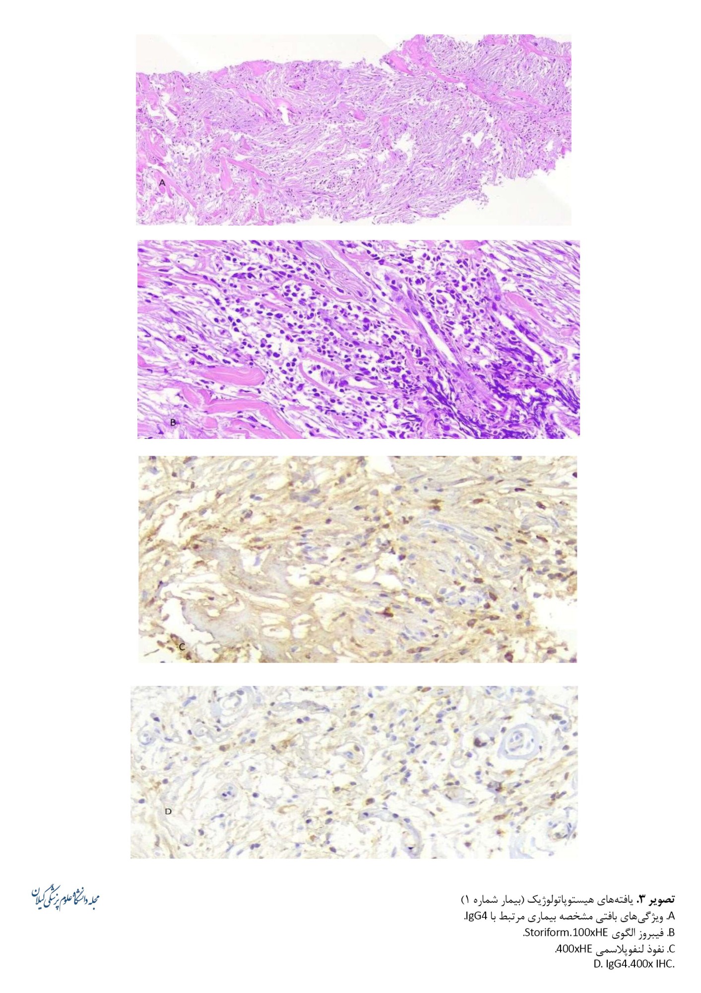
بیوپسی سوزنی از توده خلفی‌صفاقی تحت هدایت سی‌تی‌اسکن انجام شد و گزارش‌های پاتولوژی نشان‌دهنده انفیلتراسیون لنفوپلاسمیتیک patchy بین‌ رشته‌های عضلانی‌اسکلتی در توده بود. در سلول‌های پلاسما، نتایج آزمایشات آنتی‌ژنی نشان داد کهCD3 ،(low) ،CD20 (low) ،B-catenin  (منفی)، SMA (مثبت)، CD34 (منفی) و IgG4 (مثبت) بود (تصویر شماره 3).



برای بررسی بیشتر بیمار تحت اسکن توموگرافی انتشار پوزیترون قرار گرفت و نتایج یک توده بافت نرم هایپرمتابولیک با حاشیه نامنظم را نشان داد که در ناحیه خلفی‌صفاقی قرار داشت و تا زیر انشعاب آئورت گسترش یافته بود که شامل فضاهای پاراآئورت چپ، آئورتوکاوال و اطراف کاوال و گیر افتادن حالب دو‌طرفه همراه با هیدرونفروز بود. تمام آزمایشات درخواستی، آنتی‌بادی ضد‌هسته‌ای ، آنتی‌بادی سیتوپلاسمی ضدنوتروفیلANCA ،Anti La ،Anti Ra ، فاکتور روماتوئید و نشانگرهای توموری منفی بود، اما IgG 1680 میلی‌گرم در دسی‌لیتر (700-1600 میلی‌گرم در دسی‌لیتر) و IgG4 168 میلی‌گرم در دسی‌لیتر (3/9- 86/4 میلی‌گرم بر دسی‌لیتر) بود. بیمار مبتلا بهIgG4-RD  با 50 میلی‌گرم پردنیزولون تحت درمان قرار گرفت. بیمار 2 دُز یک‌گرمی ریتوکسیماب دریافت کرد و طی 3 ماه، پردنیزولون به‌تدریج به 5 میلی‌گرم کاهش یافت. در سونوگرافی بعدی اندازه توده و مقدار IgG4 سرم کاهش یافته بود.

بیمار شماره 2 
خانمی 50 ساله 1 ماه پیش با شکایت از کمردرد مداوم با انتشار به پهلوی چپ در بیمارستان بستری شد. بیمار خاطر‌نشان کرد که کمردرد وی با استراحت بهبود نمی‌یابد و باعث اختلال در خواب شبانه می‌شود. همچنین بیمار از کاهش حجم ادرار شکایت داشت و علائم سیستمیک نداشت. فشار خون، ضربان قلب، دمای بدن و اشباع اکسیژن در دمای اتاق طبیعی بود. در یک معاینه فیزیکی مختصر، بیمار دچار تندرنس در پهلوی چپ و تندرنس منتشر در ناحیه کمر بود. بررسی آزمایشگاهی نشان داد که شمارش کامل خون، سدیم، پتاسیم و تست عملکرد کبد نرمال بودند/ سرعت رسوب گلبول قرمز، 55 میلی‌گرم در ساعت؛ پروتئین واکنشگر C، 5 میلی‌گرم در دسی‌لیتر؛ کراتینین، 1/2 میلی‌گرم در دسی‌لیتر و نیتروژن اوره خون، 34 میلی‌گرم در دسی‌لیتر بود.
برای بیمار سونوگرافی انجام شد و شواهدی از هیدرونفروز شدید در کلیه چپ دیده شد. همچنین توده‌ای به اندازه 19×20 میلی‌متر در لگن مشاهده شد. ام‌آر‌آی شکم، هیدرونفروز کلیه چپ و توده‌ای به اندازه 23×19 میلی‌متری در ورودی لگن را نشان داد که منجر به جابه‌جایی حالب چپ و گسترش به سمت پره ساکرال با فیبروز خلفی‌صفاقی شد. لنفادنوپاتی خلف صفاقی، مزانتریک و لگنی دیده نشد (تصویر شماره 4). سپس بیمار تحت اسکن توموگرافی انتشار پوزیترون با احتمال فیبروز خلفی‌صفاقی قرار گرفت و شواهدی از جذب ناهمگن خفیف فلورودئوکسیگلوکز در بافت نرم مشاهده شد. سپس به دلیل افزایش کراتینین بیمار در حین بستری و هیدرونفروز شدید کلیه چپ، بیمار تحت استنت‌گذاری حالب و یورترولیز قرار گرفت و از توده بیوپسی انجام شد.



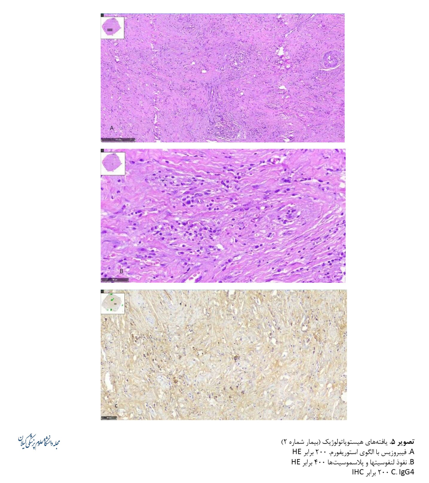
گزارش پاتولوژی توده خلفی‌صفاقی و ارتشاح لنفوپلاسمیت در بافت فیبروهمبند و حالب را نشان داد. در بررسی ایمونوهیستوشیمی،IgG 4  (ایمونوهیستوشیمی) مثبت بود (تصویر شماره 5). سلول‌های پلاسما با IgG4/IgG بیشتر از 40 درصد بدون شواهدی از بدخیمی تأیید شد. ایمونوهیستوشیمی برای لنفوم کیناز آناپلاستیک منفی بود و  H-CALDesmon ساختار عضلانی طبیعی را نشان داد. سطح IgG 1850 میلی‌گرم در دسی‌لیتر (700-1600 میلی‌گرم در دسی‌لیتر) و IgG4 149 میلی‌گرم در دسی‌لیتر (3/9-86/4 میلی‌گرم بر دسی‌لیتر) بود. تست‌های ANA ،Anti Ro ،Anti La  و فاکتور روماتوئید منفی بود. بیمار با تشخیصIgG4-RD  با پردنیزولون 40 میلی‌گرم به مدت 2 ماه تحت درمان قرار گرفت. بیمار 2 دُز یک‌گرمی ریتوکسیماب دریافت کرد و کورتیکواستروئید به‌تدریج به 5 میلی‌گرم در روز کاهش یافت. در پیگیری‌های بعدی به مدت 1 سال، اندازه توده خلفی‌صفاقی در سونوگرافی و ام‌آر‌آی شکم کاهش یافت و با وجود نرمال شدن سطح کراتینین، در اسکن کلیه، کلیه چپ آتروفیک بود و عملکرد نداشت.



بحث
 IgG4-RD، به‌عنوان یک بیماری جدید در سال 2003 برای اولین‌بار پیشنهاد شد و در سال 2010 نام رسمی آن برگزیده شد. علت این اختلال التهابی فیبرو در حال حاضر ناشناخته است و با افزایش غلظت IgG4 سرم و نفوذ مقادیر زیادی از لنفوسیت‌ها و IgG4+ مشخص می‌شود [4].IgG4-RD  مسئول بیش از نیمی از موارد توده خلفی‌صفاقی ایدیوپاتیک است. تظاهرات رایج توده خلفی‌صفاقی مرتبط با IgG4 و پری آئورتیت مزمن، درد موضعی ضعیف در پشت، پهلوها، پایین شکم یا ران‌، ادم اندام تحتانی و هیدرونفروز ناشی از درگیری حالب است. تظاهرات رادیولوژیک کلاسیکIgG4-RD  یک ضایعه پری آئورتیت است که از ناحیه اینفرارنال شروع می‌شود و تا پایین امتداد می‌یابد تا شریان‌های ایلیاک را درگیر کند. حالب‌ها در مسیر خود به مثانه، به آئورت تحتانی و شریان‌های ایلیاک نزدیک می‌شوند و اغلب توسط التهاب اطراف آئورت به دام می‌افتند [5].
تصاویر بالینی و رادیولوژیک بیمار برای تشخیص توده خلفی‌صفاقی مناسب است. توده بیماران ما پری آئورت بود که با هیدرونفروز و لنفادنوپاتی مزانتریک همراه بود. توده خلفی‌صفاقی می‌تواند ایدیوپاتیک یا ثانویه باشد که بیماران ما هیچ ریسک‌فاکتوری برای توده خلفی‌صفاقی نداشتند که متعاقباً با بیوپسی، تشخیص توده خلفی‌صفاقی، IgG4 مثبت را تأیید کرد. هر دو بیمار مذکور درگیری آئورت اینفرارنال نیز داشتند که اثر فشاری بر حالب داشت و منجر به هیدرونفروز شد. ویژگی‌های IgG4-RPF شبیه به توده خلفی‌صفاقی ایدیوپاتیک است، با این تفاوت که در مردان و سنین بالاتر شایع‌تر است و با بروز بیشتر آسیب کلیوی حاد پس کلیوی همراه با IgG4-RPF همراه است [6]. میانگین سنی در هنگام تشخیص تقریباً 67 سال و نسبت مرد به زن 1 به 3 گزارش شده است [7]. با‌این‌حال هر دو بیمار ارائه‌شده در این مطالعه زن بودند. گزارش شده است که درگیری خارج صفاقی در اکثر بیماران رخ می‌دهد [8].
هر دو بیمار مورد‌مطالعه به درمان با کورتیکواستروئیدها و ریتوکسیماب پاسخ خوبی دادند. خسروشاهی و همکاران یک بیانیه راهنمایی اجماع بین‌المللی در‌مورد درماIgG4-RD  گزارش کردند. بدین صورت که تصمیم‌گیری‌ها در‌مورد استراتژی‌های درمان عمدتاً بر‌اساس گزارش‌های موردی و گروهی است [9]. درمان توده خلفی‌صفاقی مرتبط با IgG4 چالش‌برانگیز است و بیشتر شامل گلوکوکورتیکوئیدهای طولانی‌مدت است [10]. بسته به اینکه کدام اندام‌ها درگیر هستند و بسته به میزان اختلال عملکرد، مدت‌زمان درمان متفاوت خواهد بود. ارزیابی اثربخشی درمان، شامل نظارت دقیق بر ویژگی‌های بالینی، سطوح سرمی IgG4 و نشانگرهای التهابی است. هنگامی که این نشانگرها کاهش یافتند، دُز عامل سرکوب‌کننده سیستم ایمنی باید به‌آرامی با نظارت دقیق مستمر کاهش یابد. المقدادی و همکاران نقش درمانی بالقوه ریتوکسیماب را به‌عنوان جایگزینی برای گلوکوکورتیکوئیدها در درمانIgG4-RD  گزارش کرده‌اند [11]. کورتیکواستروئیدها عموماً باعث بهبود سریع علائم می‌شوند و اغلب منجر به کاهش اندازه ضایعات خلفی‌صفاقی و رفع عوارض انسدادی می‌شوند. هر دو بیمار مورد‌مطالعه پس از تشخیص و شروع درمان با کورتیکواستروئیدها و ریتوکسیماب بهبود یافتند.

نتیجه‌گیری
 باتوجه‌به شکایات هر دو بیمار، درد در ناحیه کمر و پهلو باید به‌دقت مورد توجه قرار گیرد. توده خلفی‌صفاقی ناشی از IgG4RD می‌تواند یک بیماری نادر با پیشرفت آهسته باشد. بنابراین در صورت تشخیص و درمان به‌موقع می‌تواند پیش‌آگهی خوبی داشته باشد.

ملاحظات اخلاقی

پیروی از اصول اخلاق پژوهش

ازنظر اخلاقی طرح با مشکلی رو‌به‌رو نبود و بیماران رضایت آگاهانه خود را برای شرکت در مطالعه دادند. مقاله با کد  IR.TUNS.IKHC.REC.1402.536 توسط کمیته اخلاق دانشگاه تهران تأیید شد.

حامی مالی
این مطالعه تحت حمایت مالی هیچ سازمان و مؤسسه‌ای نبوده است.

مشارکت نویسندگان
مفهوم‌سازی، روش‌شناسی، اعتبار‌سنجی، تحلیل، تحقیق و بررسی، منابع، نگارش پیش‌نویس: مریم یاسری؛ ویراستاری و نهایی‌سازی نوشته، بصری‌سازی، نظارت، مدیریت پروژه، تأمین مالی: سید رضا نجفی‌زاده.

تعارض منافع
بنابر اظهار نویسندگان این مطالعه تعارض منافع ندارد. 

 
References
  1. Perugino CA, Mattoo H, Mahajan VS, Maehara T, Wallace ZS, Pillai S, et al. Emerging treatment models in rheumatology: IgG4‐related disease: Insights into human immunology and targeted therapies. Arthritis & Rheumatology (Hoboken, N.J.). 2017; 69(9):1722-32. [DOI:10.1002/art.40168] [PMID] [PMCID] 
  2. Zen Y, Nakanuma Y. IgG4-related disease: A cross-sectional study of 114 cases.The American Journal of Surgical Pathology. 2010; 34(12):1812-9. [DOI:10.1097/PAS.0b013e3181f7266b] [PMID] 
  3. Comai G, Cuna V, Fabbrizio B, Sabattini E, Leone O, Tondolo F, et al. A case report of IgG4-related disease: An insidious path to the diagnosis through kidney, heart and brain. BMC Nephrology. 2019; 20(1):418. [DOI:10.1186/s12882-019-1587-4] [PMID] [PMCID] 
  4. Lian L, Wang C, Tian JL. IgG4‐related retroperitoneal fibrosis: A newly characterized disease. International Journal of Rheumatic Diseases. 2016; 19(11):1049-55. [DOI:10.1111/1756-185X.12863] [PMID] 
  5. Bangolo AI, Gupta K, Atoot A. IgG4-Related disease retroperitoneal fibrosis: An unusual cause of low back pain. Cureus. 2021; 13(2):e13608. [DOI:10.7759/cureus.13608] [PMID] [PMCID] 
  6. Gormley S, Bravo PT, Kos X, Solanki K, Khashram M. A case of IgG4-related retroperitoneal fibrosis with significant involvement of the abdominal aorta-a clinical and diagnostic challenge. Journal of Vascular Surgery Cases and Innovative Techniques. 2022; 8(2):275-80. [DOI:10.1016/j.jvscit.2022.02.003] [PMID] [PMCID] 
  7. Kamisawa T, Funata N, Hayashi Y, Eishi Y, Koike M, Tsuruta K, et al. A new clinicopathological entity of IgG4-related autoimmune disease. Journal of Gastroenterology. 2003; 38(10):982-4.[DOI:10.1007/s00535-003-1175-y] [PMID] 
  8. Nikiphorou E, Galloway J, Fragoulis GE. Overview of IgG4-related aortitis and periaortitis. A decade since their first description. Autoimmunity Reviews. 2020; 19(12):102694. [DOI:10.1016/j.autrev.2020.102694] [PMID] 
  9. Khosroshahi A, Wallace ZS, Crowe JL, Akamizu T, Azumi A, Carruthers MN, et al. International consensus guidance statement on the management and treatment of IgG4‐related disease. Arthritis & Rheumatology. 2015; 67(7):1688-99. [DOI:10.1002/art.39132] [PMID] 
  10. Mota MMDS, Bezerra ROF, Garcia MRT. Practical approach to primary retroperitoneal masses in adults. Radiologia Brasileira. 2018; 51(6):391-400. [DOI:10.1590/0100-3984.2017.0179] [PMID] [PMCID] 
  11. Almeqdadi M, Al-Dulaimi M, Perepletchikov A, Tomera K, Jaber BL. Rituximab for retroperitoneal fibrosis due to IgG4-related disease: A case report and literature review. Clinical Nephrology. 2018; 6:4-10. [DOI:10.5414/CNCS109321] [PMID] [PMCID] 
مقاله مروری: گزارش مورد | موضوع مقاله: تخصصي
دریافت: 1403/1/25 | پذیرش: 1403/2/4 | انتشار: 1403/7/10

ارسال نظر درباره این مقاله : نام کاربری یا پست الکترونیک شما:
CAPTCHA

بازنشر اطلاعات
Creative Commons License این مقاله تحت شرایط Creative Commons Attribution-NonCommercial 4.0 International License قابل بازنشر است.

کلیه حقوق این وب سایت متعلق به مجله دانشگاه علوم پزشکی گیلان می باشد.

طراحی و برنامه نویسی : یکتاوب افزار شرق

© 2025 CC BY-NC 4.0 | Journal of Guilan University of Medical Sciences

Designed & Developed by : Yektaweb